Espolón calcáneo o Exóstosis calcánea

Antes de decir que es el espolón calcáneo es necesario que sepas que el calcáneo es el hueso del talón- imagen 1.

Imagen 1. Localización del hueso calcáneo.
Entonces, el espolón calcáneo es la proliferación o crecimiento anormal del hueso a ese nivel.

TIPOS DE ESPOLÓN DE ACUERDO A SU LOCALIZACIÓN

  • Retrocalcáneo: por lo general aparecen por lesión en el tendón de Aquiles. Son menos comunes y menos dolorosos.
  • Subcalcáneo o plantar: aparece justamente en la parte de abajo del talón.
Imagen  2. Tipos de espolón calcáneo según su localizaación 1.Retrocalcáneo 2.Subcalcáneo

CAUSAS

  • Edad
  • Fascitis plantar: inflamación de la fascia (tejido conectivo que protege y da soporte) ubicada en la planta del pie.
Imagen 3. Localización de la fascia plantar.

  • Ruptura o sobrecarga de tendones a nivel del pie o tobillo.
  • Hiperlaxitud ligamentaria.
  • Debilidad en los músculos de la pierna.
  • Sobrepeso.
  • Personas que padezcan enfermedades  como: artritis, gota; son más propensas a padecer de espolón calcáneo. 
  • Practicar deporte en superficie muy dura, por ejemplo: baloncesto, correr, trotar.
  • Estar de pie por tiempo prolongado.
  • Uso de calzados inadecuados, dentro de ellos zapatos muy planos o duros tipo chanclas.
  • Deformidad en los pies y/o talones como: 
- Pie cavo:  arco plantar o puente aumentado.
- Pie plano: disminución o ausencia del arco plantar - imagen 4.
Imagen 4. Pisada normal, de un pie plano y uno cavo.

- Pie valgo:  desviación lateral del talón. 
- Pie varo: desviación medial del talón - imagen 5.
Imagen 5. Vista posterior del pie valgo y varo. 

Por lo general el pie cavo viene acompañado de una deformidad en varo del talón  y el pie plano de un  talón en valgo - Imagen 6.
Imagen 6. Desviaciones del talón según el pie.

SÍNTOMAS
  • Dolor de tipo punzante en el talón que se siente como si estuvieras pisando un clavo. El dolor puede irradiarse a la pantorrilla o gemelos. Por lo general acompañado de ardor.
Algunos pacientes manifiestan que el dolor empeora durante el reposo y disminuye un poco la intensidad mientras caminan. Otros manifiestan que el dolor se incrementa al apoyar el pie o iniciar la actividad.
  • Inflamación de la fascia plantar. 
FACTORES DE RIESGO
- Es más común en mujeres entre los 35 y 60 años de edad.
- Personas que practiquen una actividad física o deporte y no realicen un adecuado calentamiento y estiramiento muscular.
- La genética juega un papel importante.

¿CÓMO SE DIAGNOSTICA?
El examen físico es importante pero lo recomendable es soportar la valoración con estudios como:
  • Rayos X: permite ver la proliferación anormal de hueso a nivel del talón - imagen 7.  
Imagen 7. Radiografía de pie donde se evidencia el espolón calcáneo.
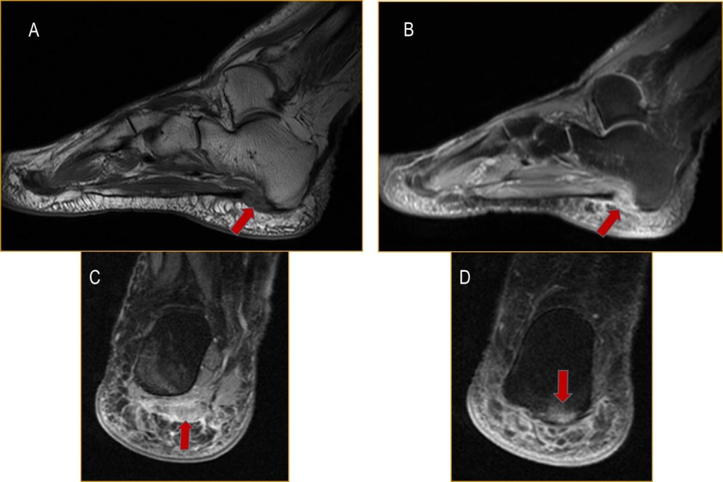
  • Ecografía y resonancia magnética: podría apreciarse la proliferación de huesos a nivel del talón, mostrará  la inflamación y el engrosamiento de la fascia plantar - imagen 8. 
Imagen 8. Resonancia magnética del pie con espolón calcáneo.

TRATAMIENTO

  1. Tomar analgésicos y antiinflamatorios: recuerda consultar a tu médico para su prescripción, no te automediques.
  2. Sesiones de fisioterapia: para aliviarte el dolor, te ayude a desinflamar y para que te elabore un plan de ejercicios de estiramiento.
  3. Infiltraciones: consiste en inyectar un corticoides y un analgésico para aliviarte el dolor.
  4. El masaje o el automasaje en los pies puede ayudarte a liberar la fascia y evitar los dolorosos síntomas.
  5. Usar parches medicados los cuales alivian momentáneamente o cuando el cuadro es muy leve.
  6. La acupuntura.
  7. Uso de plantillas personalizadas.
  8. Como última instancia está la cirugía, una consiste en hacer un raspe en el espolón y la otra en hacer una incisión para liberar la fascia plantar.

PLAN EN CASA

Los ejercicios que te recomiendo a continuación  debes realizarlos a tu tolerancia. Si el dolor se incrementa debes suspenderlos.

1. De pie, apoyado(a) a una pared, coloca un pie adelante y otro atrás como se aprecia en la imagen. Dobla la rodilla que está adelante mientras que en la pierna de atrás sientes el estiramiento. Luego cambia de piernas y realiza el mismo paso. Realiza 15 repeticiones con cada pierna dos veces al día. Sostén el estiramiento por 3-5 segundos.

NOTA: Ten en cuenta que al doblar la rodilla que está adelante ella no debe sobrepasar los dedos de tus pies.

Imagen 9. Estiramiento de los gemelos. 

2. Sentado(a) en una colchoneta extiende la pierna y coloca una toalla en la planta del pie afectado e intenta llevar el pie hacia ti, sin doblar la rodilla. Realiza 2 sesiones de 10.  Sostén el estiramiento durante 5 segundos y si es necesario realiza el estiramiento en el otro pie - imagen 10.

Imagen 10. Estiramiento de la fascia plantar, gemelos e isquiotibiales.

RECOMENDACIONES
  • Aplica frío en la zona afectada por unos 15 minutos, 2 - 3 veces al día. En caso de que sufras de diabetes hazlo con cuidado porque puedes quemarte. 
  • Reduce las actividades que sobrecarguen el pie  como saltar, correr, trotar.
  • En caso de estar en sobrepeso acude a un nutricionista para que ajuste una dieta especial para ti.
  • Realiza pausas activas cada dos horas o una pequeña caminata para evitar la tensión. 
  • Procura usar un calzado ergonómico, que no sea alto o muy plano. En el caso de las mujeres es preferiblemente usar zapato tacón playa y para los hombres tenis o calzado con un ligero realce en el talón.
  • Realízate un estudio de baropodometría (estudio que mide las presiones de manera estática y dinámica mediante unos sensores digitales) y utiliza unas plantillas personalizadas de acuerdo a tus necesidades.
¡Si te pareció útil la información compártela!

Comentarios

Entradas populares de este blog

¿Cuál es la manera adecuada o la mejor posición para dormir?

Higiene Postural: ¿Cómo mejorar mis posturas?

Cervicalgia

Síndrome del manguito rotador

Masaje descontracturante vs Masaje relajante

¿Cómo levantarse de la cama adecuadamente?

Tortícolis

Hombro Doloroso u Omalgia